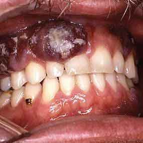
7. Kaposi’s sarcoma

Kaposi’s sarcoma (KS) is a type of cancer that can form in the skin, lymph nodes, or other organs. The skin lesions are usually purple in color
It can occur on the skin and in mucus membranes. For example the moist inner lining of the mouth, nasal passages, and vagina. It occurs among people who have HIV/AIDS.
KS can spread quickly to other parts of the body, including major organs such as the liver and lungs.
KS can be treated with surgery, chemotherapy (drugs that kill cancer cells), radiotherapy (high doses of x-rays or other radiation). Or biological therapy (using the body’s own resources to boost the immune system).






