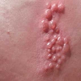
4. Shingles

Viral infection that causes a painful rash is known as Shingles. It is an infection caused by the same virus that causes chickenpox.
This virus remains dormant in the nerve cells of people who have had chickenpox. And can reactivate in the body later on, resulting in shingles.
Early symptoms of shingles include tingling feelings, itchiness, numbness and stabbing pain on the skin.
To combat the pain, doctors may recommend an over-the-counter pain reliever, such as ibuprofen or paracetamol. A stronger pain reliever, such as codeine or oxycodone, may be prescribed for severe pain and discomfort.






